原标题:简直太惊悚 玩手机上瘾竟会导致脑萎缩?
随着科技的发展手机的功能也越来越丰富,不再只是简单的通讯工具,正是因为用手机能做的事情逐渐的变多,人们对手机的依赖也逐步增加,走在大街上我们随处都能看到低头玩手机的人,即使是工作日早晚高峰拥挤的公交、地铁上放眼望去几乎每个人手里依旧都握着手机,如果说手机没电或是忘记带了就会很没有安全感。但对手机如此依赖真的好么?
在去年特恩斯市场研究公司(TNS)给出的一份研究报告显示,在全球16-30岁之间的用户中,用户每天平均使用手机的时间为3.2小时,而国内用户平均每天使用手机的时间为3.9小时,远超过全球平均水平,仅次于排名第一的泰国(4.2小时)。对于3.9小时来说是一个什么概念我们来算一下,以每天工作 (8小时)、睡觉(8小时)、吃饭(1.5小时)、上下班路程(1.5小时)的时间来计算,每天只有5个小时的休闲时间,可见玩手机所占比例之高。

全球16-30岁用户每天平均使用手机时间调查(图片引自TNS)
近年来由于玩手机发生的事故屡见不鲜,但相比于玩手机导致的意外,最近流传着一个更惊悚的故事,话说有一个小伙子(还是一名学生),已经连续失眠一个多月了,晚上睡不着,白天没精神,学习成绩一落千丈,而且情绪低落,经常无端发脾气,对于这样的症状你可能会以为只是神经衰弱导致的,但事实却比神经衰弱严重的多。

睡前玩手机已经成为了睡前一项必须要做的事(图片引自edushi)
在初次就医检查初步判断可能是由于晚上睡得比较晚且长期玩手机加上学习压力较大导致的,医生为其开了些改善睡眠的药,单吃了两个月依旧没有改善。随后该名小伙子在进行仪器检查时惊人的一幕出现了,小伙子居然有脑萎缩症状(要知道脑萎缩一般只有上了年纪的老人才会出现这样的症状)。

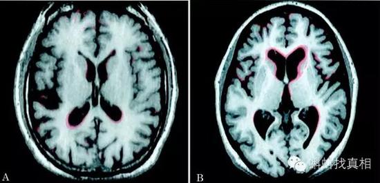
脑萎缩前后对比影像(图片引自微信公众号)
这到底是什么导致的呢?在进一步的诊断查看中,这名小伙子告诉医生,其实两年前开始接触智能手机的,并且这两年多其一直保持着晚上九点躺床上开始玩手机的习惯,经常会玩到凌晨两三点才睡觉,当然作为一名学生每天早上7点还要起床上学,每天睡眠时间只有4个小时左右,随着时间的推移,然后慢慢的就开始没精神并出现了失眠的症状。
心理科睡眠障碍门诊主治医师、心理咨询师吕园园就表示“在晚上最应该让大脑休息的时候,这样没有节制成瘾地玩手机是造成他脑萎缩的重要原因”。而一份研究表明虽然脑组织容积会跟睡眠状况有关,但这样的成瘾行为才是导致脑组织病变的罪魁祸首。

手机已经成为了人们的一种依赖(图片引自ssktw)
美国神经病学学会年会(AAN)上,哥伦比亚大学的研究人员表示睡眠状况确实和脑组织容积有关。脑皮质和灰质的减少与白天嗜睡增加相关,左嗅量降低与睡眠时间较长相关。而另一份研究显示,网瘾者的灰质体积明显小于同龄的正常人,这也和如海洛因成瘾一类行为取得的结果一致。

大脑构造示意图(图片引自微信公众号)
换句话来说就是夜晚长时间玩手机肯定对健康有所害,但并不至于直接导致脑萎缩,而真正引发脑萎缩的是成瘾行为。所以奉劝每天手机不离手的小伙伴,一定要注意适可而止,不要让手机成为影响我们健康的工具。
写在最后:
脑萎缩到底是什么呢?准确的说脑萎缩是一种症状,是由各种原因导致脑组织本身发生器质性病变而产生萎缩的一种现象。病理上表现为脑组织体积缩小,细胞数目减少,脑室和蛛网膜下腔扩大。遗传、脑外伤、中毒、脑血管畸形、脑部肿瘤、脑动脉硬化等,任何可以改变脑部血液循环,导致脑组织长期慢性缺血的疾病,都有可能导致脑萎缩。
影像学检查可以发现脑组织体积减少,脑室扩大。初期病人会出现不安、抑郁、偏执、头痛、头晕、失眠、嗜睡、记忆力下降等症状假如脑组织供血得不到改善,病人就会进入病变早期,情感行为明显异常,出现多疑、言语障碍等现象;到了中期即会出现智力减退痴呆等症状;到了后期就完全会瘫痪在床,没有任何行为、辨别能力。













